top of page
Meldungen
Suche


Ein Herzensprojekt mit Wirkung: 1.000 Herzkissen für Palliativpatienten
[Mitglieder-Bericht 149/2025, Bad Schwartau, Freitag, 21.11.2025] Seit Jahren schenken die LandFrauen Bad Schwartau schwerkranken Menschen Trost – mit handgenähten Herzkissen, die von Herzen kommen.


Klinik Preetz: Pflege Azubi Award 2025
[Mitglieder-Bericht 148/2025, Preetz, Mittwoch, 19.11.2025] Was für ein besonderer Moment. Beim Pflege Azubi Award 2025 durften wir den 1. und 3. Platz entgegennehmen und wir könnten nicht stolzer sein.


Weltweit erste Shunt-Operation mit mikrochirurgischem Robotersystem am UKSH
[Mitglieder-Bericht 147/2025, Kiel, Dienstag, 18.11.2025] Am Universitätsklinikum Schleswig-Holstein (UKSH), Campus Kiel, wurde weltweit erstmalig eine Shunt-Operation mit einem mikrochirurgischen Robotersystem durchgeführt.


Kliniken warnen vor Einschnitten bei der Versorgung
[DKG - Berlin/Düsseldorf, Montag, 17.11.2025] " Der aktuelle Krankenhaus-Index des Deutschen Krankenhausinstituts* zeigt, wie dramatisch die wirtschaftliche Lage der Kliniken ist – und das, obwohl die Daten erhoben wurden, bevor das Sparpaket überhaupt zur Debatte stand. Schon damals rechneten die Häuser noch mit Entlastungen aus dem Transformationsfonds. Trotz dieser Aussicht war die finanzielle Situation vieler Kliniken bereits verheerend “, erklärte der Kongresspräsident


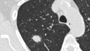
Früherkennung von Lungenkrebs: Zusätzliche Kriterien könnten mehr Fälle aufdecken
[Mitglieder-Bericht 146/2025, Lübeck/Berlin/Hannover, Freitag, 14.11.2025] Um die hohe Sterblichkeitsrate bei Lungenkrebs zu senken, soll in Deutschland ein Früherkennungsprogramm eingeführt werden. Es richtet sich an Menschen ab 50, die lange stark geraucht haben.


Weltfrühchentag - PNZ Heide für die Region unverzichtbar
[Mitglieder-Bericht 145/2025, Heide, Dienstag, 11.11.2025] Um auf die Belange von Frühgeborenen und die Bedeutung ihres Perinatalzentrums Level 1 für die Versorgung von Frauen und Kindern an der Westküste hinzuweisen, laden die Westküstenkliniken am 17. November, dem Weltfrühgeborenen-Tag, zu einem Lichterfest an die Klinik in Heide ein. Unterstützung bekommt die Klinik dabei auch aus Nordfriesland.


Psychiatrie-Konzept wird architektonisch umgesetzt
[Mitglieder-Bericht 144/2025,Heide, Montag, 10.11.2025] Die Westküstenkliniken haben jetzt Richtfest für den Neubau der Psychiatrie gefeiert. Für knapp 30 Millionen Euro entsteht auf dem Gelände der Westküstenkliniken in Heide ein modernes Klinikgebäude, das dem besonderen Behandlungskonzept der Psychiatrie gerecht wird.


Wenn die Schulter streikt
[Mitglieder-Bericht 143/2025, Bad Segeberg, Mittwoch, 05.11.2025] Wenn die Schulter streikt, geht fast nichts mehr. Ob Sport, Gartenarbeit oder einfach nur den Einkauf nach Hause tragen, dass beweglichste Gelenk unseres Körpers macht alles möglich. Doch gerade weil es so viel leistet, ist es besonders anfällig. Schon kleine Überlastungen können starke Schmerzen verursachen und den Alltag einschränken.


Deutsche Krankenhausgesellschaft stellt Forderungen zum Klimaschutz auf
[DKG - Berlin, Freitag, 07.11.2025] DKG zum Positionspapier Klimaschutz im Krankenhaus Mit einem Positionspapier hat die Deutsche Krankenhausgesellschaft ihre Forderungen zum Klimaschutz im Krankenhaus veröffentlicht. Dabei erkennt der Verband ausdrücklich die Rolle der Krankenhäuser als Energie-Großverbraucher an und betont zugleich das daraus erwachsende Potenzial zum Klimaschutz. Die Sicherung der Energieversorgung für Krankenhäuser ist nicht nur notwendig für eine zeitge
bottom of page
